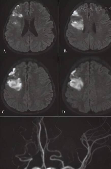
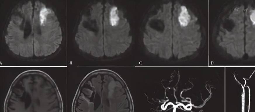
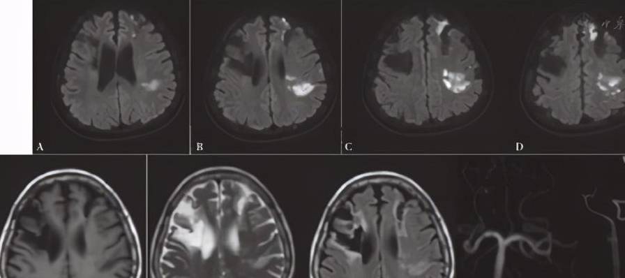
— 案例分享:青年甲状腺功能亢进症并发反复脑梗死 —
更新时间:2023-04-25 18:00:02 编辑:丁丁小编
本文转载于:https://www.sohu.com/a/665894664_120505831 如有侵犯,请联系dddazheyh@163.com删除
热门文章榜
-
- 寒冬,建议常给孩子吃这三道家常菜,驱寒暖身还润燥,便便超顺畅
- 寒冬,建议常给孩子吃这三道家常菜,驱寒暖身还润燥,便便超顺畅
- 立即抢购
-
- 锌是“天然增高器”!秋天孩子常吃这4道高锌菜,脑子灵活长高个
- 锌是“天然增高器”!秋天孩子常吃这4道高锌菜,脑子灵活长高个
- 立即抢购
-
- 秋天少吃猪肉多吃它,比牛羊肉便宜,随手一炖滋补又解馋,太香了
- 秋天少吃猪肉多吃它,比牛羊肉便宜,随手一炖滋补又解馋,太香了
- 立即抢购
-
- 冬天对肺非常好的3种菜,天凉后多给家人吃营养不燥,人人吃得起
- 冬天对肺非常好的3种菜,天凉后多给家人吃营养不燥,人人吃得起
- 立即抢购
-
- 冬季是“补脑”的黄金期!建议多给孩子吃四样健脑益智,记忆力好
- 冬季是“补脑”的黄金期!建议多给孩子吃四样健脑益智,记忆力好
- 立即抢购
-
- 大补的鱼,不是带鱼和鲫鱼,而是这4种鱼,常吃补脑益智强免疫!
- 大补的鱼,不是带鱼和鲫鱼,而是这4种鱼,常吃补脑益智强免疫!
- 立即抢购
热门优惠券
更多-
立即领取ShopbopScore up to 50% off designer must-haves, plus get an extra 10% off all sale styles. Use code
ShopbopScore up to 50% off designer must-haves, plus get an extra 10% off all sale styles. Use code -
立即领取ShopbopScore up To 25% Off Top-Selling Styles During the Style Event with Code STYLE
ShopbopScore up To 25% Off Top-Selling Styles During the Style Event with Code STYLE -
立即领取CasetifyUse Code: SPOOKY25 and Buy 1 Get 15% Off, Buy 2+ Get 20% Off
CasetifyUse Code: SPOOKY25 and Buy 1 Get 15% Off, Buy 2+ Get 20% Off -
立即领取Shopbop20% OFF BEAUTY: Including skincare, makeup & more with code BEAUTY20
Shopbop20% OFF BEAUTY: Including skincare, makeup & more with code BEAUTY20 -
立即领取CasetifyUse Code BTS25 to Save up to 25% OFF
CasetifyUse Code BTS25 to Save up to 25% OFF
最新分享
更多-
立即阅读冬至过后是养阳的黄金期,别太心疼钱, 多吃这4样养阳暖身温暖过冬
2025-12-23 07:17:58 -
立即阅读天冷不想炒菜,有它就够了!饭菜一锅出,好吃又营养,越吃越暖和
2025-12-22 07:48:00 -
立即阅读今日冬至,提醒“3菜不上桌, 福气安康不进门”哪3菜呢?别不懂吃
2025-12-21 07:47:58 -
立即阅读明日冬至,讲究“三菜不上桌,福气不进门”哪3菜? 有钱没钱要吃
2025-12-20 07:48:00 -
立即阅读“冬至吃3样,人旺身体旺”冬至临近,指哪3样?尊重传统平安顺遂
2025-12-19 07:17:58 -
立即阅读“冬至吃3宝,寒冬无病扰!”12月21日冬至, 3宝指啥? 御寒暖身祛病
2025-12-18 07:51:00 -
立即阅读闺蜜重逢,我做了5道菜招待,闺蜜吃得停不了口,扬言下次还来吃
2025-12-18 07:48:00 -
立即阅读冬季建议孩子少吃白菜豆腐,多吃3道“黄金菜”,滋养润燥增免疫
2025-12-17 07:18:00 -
立即阅读补气血别只知道阿胶!常吃这3样养气血,手脚暖气色佳越吃越年轻
2025-12-16 07:47:58 -
立即阅读大脑最爱的3种菜,要常给孩子吃有助于大脑发育增强记忆,更聪明
2025-12-15 07:18:56






