当前的位置: 首页 > 文章列表
今日热门
最新文章
-
揭秘身边的超级补血能手,推荐每周进食3次促进血液健....推荐人:丁丁小编 发布时间:2024-01-16 08:50:07
-
美食让女人春光满面,这几道菜年轻20岁推荐人:丁丁小编 发布时间:2024-01-16 08:40:05
-
冰铜锣烧:一个让多啦a梦也着迷的空气口感!推荐人:丁丁小编 发布时间:2024-01-16 08:30:06
-
50岁的女性如何穿搭,让自己看起来年轻而优雅推荐人:丁丁小编 发布时间:2024-01-16 08:30:06
-
对自己的身材标准做个最新男神女神的评估,也许你没有....推荐人:丁丁小编 发布时间:2024-01-16 08:20:05
-
简洁大方的黑白灰款式是中年女性的理想选择推荐人:丁丁小编 发布时间:2024-01-16 08:20:05
-
三种不可错过的豆腐美味,让宾客惊艳不已!推荐人:丁丁小编 发布时间:2024-01-16 08:10:05
-
监管吃香8倍、遭禁的东西仍受人呵护推荐人:丁丁小编 发布时间:2024-01-16 08:00:06
-
3月发布?小米14 Ultra多色渲染爆料 | 鸿....推荐人:丁丁小编 发布时间:2024-01-15 20:10:04
-
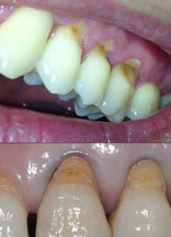
楔状缺损的起因及解读推荐人:丁丁小编 发布时间:2024-01-15 19:50:04
好券专区
更多精选折扣
-
立即领取kavar 米良品 可调自动浇花器 4只装
15.9元(包邮、需用券) -
立即领取
-
立即领取kavar 米良品 免拆免洗空调清洗剂 500ml
11.9元包邮 -
立即领取月亮和六便士 毛姆 著 英文版原版中文译本 世界名著外国文学小说书籍畅销书排行榜
¥9.90 (2.83折) -
立即领取
